Pass Your Advanced EM Ultrasonography Exam

The newest Qbank for your Focused Practice Designation

Learn from the AEMUS Experts

Building ultrasound knowledge doesn’t start and end with your exam: What you use to learn—and who you learn from—will serve you for the rest of your career.

With the new Advanced Ultrasound Qbank, you can pass your FPD exam and provide better care with practice questions written by the experts.

Join these experts in

closing knowledge gaps for your exam and the future of ultrasound.

The
Ultrasound
Qbank

Created by point-of-care ultrasound champions.

Penny Lema, MD
Penny Lema, MD
Associate Professor of Emergency Medicine Columbia University Vagelos College of Physicians and Surgeons
Resa E. Lewiss, MD
Resa E. Lewiss, MD
Professor of Emergency Medicine and Radiology Thomas Jefferson University Hospital
 Amy Zeidan, MD
Amy Zeidan, MD
Assistant Professor of Emergency Medicine Emory University School of Medicine

Real Ultrasounds.
Real Results.

Test your knowledge with practice questions including real ultrasound cases and scenarios.

Ready to close your knowledge gaps?

Get 30-day, 90-day, or 365-day access to the Advanced Ultrasound Qbank

Inside Your Qbank

Practice questions based on the AEMUS core content blueprint—pass guaranteed.

Blueprint

  • Categories
    Distribution
  • Physics and Technical Aspects of Ultrasonography
    10 ± 5%
  • Anatomic / Diagnosic Ultrasound
    60 ± 5%
  • Procedural Ultrasound
    10 ± 5%
  • Education and Research Skills
    10 ± 5%
  • Administration and Quality
    10 ± 5%
*For examination purposes, this Clinical Ultrasonography Training with Non-Emergency Medicine Specialties is contained within Administration and Quality.
question bar

Question

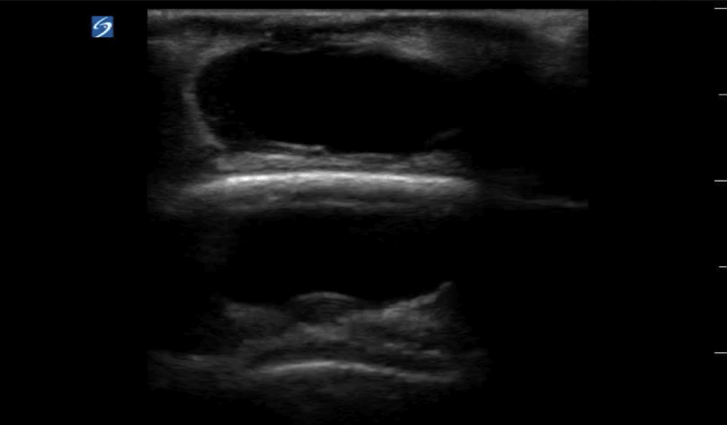
US Pseudoaneurysm of skull for question

A 60-year-old man presents to the emergency department with a painful lump to the back of his head. He was hit in the head with a baseball bat 2 weeks prior and recently got his sutures removed. On physical exam he has a tender and fluctuant mass. The skin exam is limited because of his hair. A point-of-care ultrasound is performed as shown above. What is the next best step?

A Antibiotics and follow-up with primary care doctor
BNeedle aspiration
CPerform an incision and drainage and arrange for follow-up
DPerform color Doppler of the mass prior to any intervention

Explanation

Soft tissue ultrasound is performed using a high-frequency linear transducer. In this grayscale image, the mass appears as an anechoic rounded structure, making it indistinct from a cyst, seroma, hematoma, abscess, or vascular anomaly. The mass is also on top of the scalp and the hyperechoic stripe of the scalp creates a mirror artifact. Performing color Doppler on any mass will identify if there is a source of blood flow within the cavity. Color Doppler can also help delineate a lymph node from other pathology. The image above is a pseudoaneurysm that formed after trauma. Pseudoaneurysms occur due to extravasation of blood outside of the vessel wall and into the perivascular space.

US Pseudoaneurysm of skull

Antibiotics and follow-up (A) as well as incision and drainage (C) are incorrect answers because this is a pseudoaneurysm. An abscess is also an anechoic or hypoechoic fluid collection within a rounded cavity and often has irregular borders. Without using color Doppler, it can be indistinguishable from other fluid-filled masses. Needle aspiration (B) is also an incorrect answer because puncturing the pseudoaneurysm may cause more complications including external hemorrhage. There are a few ways to treat a pseudoaneurysm. First compress the mass using a linear transducer for approximately 20 minutes until pseudoaneurysm communication is closed. Another treatment option is injecting thrombin into the pseudoaneurysm. If the first two treatments fail then the pseudoaneurysm may require surgical intervention.

Overall Performance

  • Focused H&P 70%
  • Diagnosis 80%
  • Consultation 75%
  • Prognosis 82%

Peer Comparison

Why an Ultrasound Qbank? Hear from The Creators

Meet the Authors

The minds behind the questions in your Advanced
Ultrasound Qbank.

Start studying for your FPD exam today

Get 30-day, 90-day, or 365-day access to the Advanced Ultrasound Qbank